Dein Lächeln
Dein Style.
Moderne Kieferorthopädie in Duisburg-Meiderich:
Komfortabel, unauffällig und easy im Alltag.
Online · Schnell · Ohne Stress
Leistungen
Schonende, moderne kieferorthopädische Behandlungen für ein gesundes Lächeln.
Klassische Brackets
Unsere klassischen selbstligierenden Brackets bieten eine moderne, effiziente Lösung zur Zahnkorrektur. Sie kommen ohne zusätzliche Gummis oder Drähte aus, da der Draht direkt im Bracket fixiert wird. Das reduziert Reibung, schont das Zahnfleisch und ermöglicht eine sanftere und oft schnellere Behandlung.
Ästhetische Brackets
Ästhetische Brackets sind eine moderne und besonders unauffällige Möglichkeit, Zahnfehlstellungen zu korrigieren. Im Gegensatz zu klassischen Metallbrackets bestehen sie aus zahnfarbenem Keramikmaterial und passen sich dadurch harmonisch an die natürliche Zahnfarbe an.
Unsichtbare Zahnspangen (Aligner)
Unsichtbare Zahnspangen, auch Aligner genannt, sind eine moderne und nahezu unsichtbare Methode zur Korrektur von Zahnfehlstellungen. Die transparenten Kunststoffschienen werden individuell für Ihre Zähne angefertigt und bewegen die Zähne Schritt für Schritt in die gewünschte Position.
Knirscherschiene (Aufbissschiene)
Viele Menschen knirschen oder pressen unbewusst mit den Zähnen, besonders während des Schlafes. Dieses sogenannte Zähneknirschen (Bruxismus) kann zu Zahnschäden, Verspannungen der Kaumuskulatur, Kopfschmerzen oder Schmerzen im Kiefergelenk führen.
Abdruckfreie Praxis
In unserer Praxis verwenden wir moderne digitale Scanner, um präzise 3D-Aufnahmen Ihrer Zähne und Ihres Kiefers zu erstellen. Dadurch können wir auf herkömmliche Zahnabdrücke mit Abdruckmasse verzichten.
Bleaching und Professionelle Zahnreinigung
Ein strahlend weißes Lächeln wirkt gepflegt und attraktiv. Mit einer professionellen Bleaching-Behandlung können verfärbte oder nachgedunkelte Zähne schonend und effektiv aufgehellt werden.
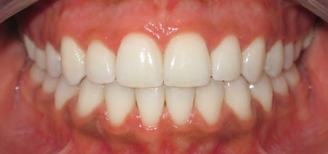
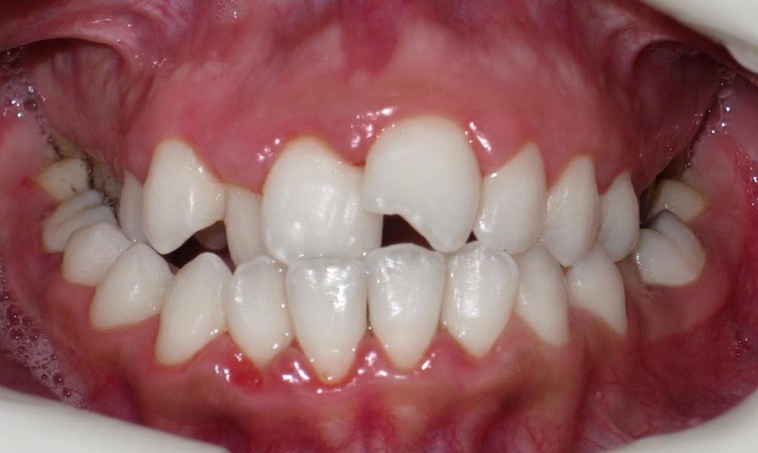
Unsere Patienten
vor und nach der Behandlung
Ausgewählte abgeschlossene Behandlungen mit ihren Vorher‑/Nachher‑Ergebnissen.
Entdecken Sie unsere Praxis
Machen Sie einen virtuellen Rundgang durch unsere moderne Praxis.
Karriere
Zurzeit sind keine Stellenangebote verfügbar. Schauen Sie bitte später wieder vorbei.
FAQ (Häufig gestellte Fragen)
Kontakt
Arbeitszeit
Montag bis Donnerstag
08:00 – 12:00
13:00 – 18:00
Mittagspause
12:00 – 13:00
Geschlossen
Freitag-Samstag-Sonntag